
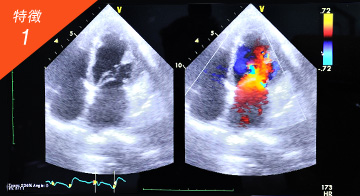
24時間〜48時間前の発作をまるでタイムマシンのように追跡できる最先端の心臓超音波機器「スペックルトラッキング」を用いた診察がございます。
過去に遡れることにより、従来症状がある時点で心電図を撮らないと異常は出なかった問題を解消でき、原因の早期発見が期待できます。
微小血管狭心症の診断に強いのもスペックルトラッキングの特徴です。

当院のオリジナルの診療のために、三重県など、遠方からお越しいただいている患者様もいらっしゃいます。
ご期待にお応えするべく、当院は一人ひとり、真摯に、丁寧に診療を行っております。

最先端設備を使用した診療だけでなく、一般的な内科疾患も診療いたします。
またその診療においては、必要に応じて漢方薬の処方もさせて頂きます。
舌診・腹診をして、患者様のお体に合った漢方を一緒に考えていきます。
貴方の身体の不具合について一緒に考えていきませんか?
"Listen to Your Patient;
He's Telling You the Diagnosis!"
「患者さんの言うことに耳を傾けなさい。患者さん自身が診断に導いてくれます。」
という有名な言葉です。
当院はこの言葉を肝に命じ、診療にあたっています。
待ち時間が長くなり、ご迷惑をおかけすることもありますが、そのような診療方針に基づき
一人ひとり真摯に、丁寧に診療を行っております。
腰痛・アトピー
こういった症状や疾患は思わぬところからきています。
臓器同士は関連しており、症状が出ている一箇所だけを治しても意味はありません。
患者さんと話し合う事で診断が下ると日ごろ痛感しております。
一見、関連が無いような複数の訴えであっても、臓器同士はコミュニケーションをとっており、
一つの病態をさまざまな側面から見ていることはよくあります。
例えば、パーキンソン病やアレルギー疾患は腸からきますし、
スギ花粉症の人の中には、花粉の時期にトマトを食べると、花粉症がひどくなることもあります。
(スギ花粉抗原とトマトの抗原は形が似ている、つまり交差性があるからです。)
今、体の中でいったい何が起こっているのか。
そこに根治療法につながる可能性があります。
もちろんすべてのケースで根治療がかなうわけではないですが、
そのときは生活の質を高めるべく、一番適した対症療法を一緒に考えたいと思います。
内科
風邪などの一般的な内科疾患
糖尿病・COPD・気管支喘息など
循環器内科
高血圧・不整脈・心不全・狭心症・心筋梗塞・静脈血栓・閉塞性動脈硬化症・弁膜症・御自宅でのペースメーカー管理、ペースメーカー外来
訪問診療(往診)
在宅支援診療所認定(24時間の在宅診療)、末期癌の方の看取り (緩和ケア研修終了)をはじめ、糖尿病・胃瘻(いろう)・褥瘡(じょくそう) の方も受け入れています。
| 診療時間 | 月 | 火 | 水 | 木 | 金 | 土 | 日・祝 |
|---|---|---|---|---|---|---|---|
| 9:00-12:00 (受付:8:40-11:30) | ◯ | ◯ | ◯ | 休診 | ◯ | ◯ | 休診 |
| 18:00-20:00 (受付:17:40-19:30) | ◯ | 休診 | ◯ | 休診 | ◯ | 休診 | 休診 |
※院長が学会等出席のため、受付制限をさせて頂く日もございます。ホームページ お知らせ にて確認できます。
※インターネットによる初診受付サービス(別サイト)をご利用の方へのご注意
初診受付サービスは受付順番の予約をするものではありません。事前に症状などを伺い、来院された際、症状に合わせた適切な対応が取れるようにするためのものです。
実際に窓口に来られてから順番受付をする事になります。また改めて看護師が症状など問診もさせて頂きます。
ご理解とご協力をお願いいたします。
院長 吉田 和弘(医学博士・循環器専門医)
平成9年に京都大学医学部を卒業。
京大病院、和歌山日赤医療センターで勤務。
その後、特別老後老人ホームの管理医師を経て心臓病のみならず内科全般の診療を行ってきました。
地域の皆様のお役に立ちたいと願っております。
兵庫県立尼崎総合医療センター、関西ろうさい病院、近畿中央病院の近隣の医療機関と密に連携しており、受診する際には予約時間を指定することができますので、ご安心ください。

・京都大学 医学博士
・日本循環器学会 循環器専門医
・日本内科学会 認定内科医
・日本抗加齢医学会(アンチエイジング) 専門医
・日本医師会 認定産業医
・兵庫県難病指定医
・和温療法学会評議員
・関西電力医学研究所客員研究員
・がん診療にかかわる医師の緩和ケア研修終了
・ローフードマイスター1級
・日本糖尿病協会
・日本循環器学会
・日本内科学会
・日本抗加齢医学会
・日本東洋医学会
| 1997年 | 京都大学医学部卒業 |
|---|---|
| 1997~1998年 | 京都大学医学部付属病院 循環器内科勤務 |
| 1998~2003年 | 日本赤十字社 和歌山医療センター勤務 (心臓血管集中治療部(CCU)にて心臓カテーテル手術を多数行う) |
| 2004~2009年 | 京都大学大学院医学部(循環病態学講座) |
| 2009年 | 医学博士号取得 |
| 2014年 | よしだ循環器内科クリニック 院長就任 |
| 2016年 | 医療法人和華会よしだ循環器内科クリニック 院長就任 |
①和温療法による心房細動の予防と治療
②和温療法による認知症の予防と治療
③急性心筋梗塞を見逃さない新たな検査法
ワイヤレスヘッドホン
TV付き点滴室
第二診察室
   受  付   
| 施設名 | (医)和華会 よしだ循環器内科クリニック |
|---|---|
| 所在地 | 〒661-0044 尼崎市武庫町1丁目36-27 ライズ一番館101号室 |
| 電話 | 06-6415-7901 |
| 受付時間 | 午前診8:40-11:30 午後診17:40-19:30 |
| 休診日 | 木曜、日曜、祝日、火曜・土曜午後 |
| ホームページ | http://kazuhanakai.com/ |
| 連携医療機関 | ■兵庫県立尼崎総合医療センター ■近畿中央病院 ■尼崎医療生協病院 ■近藤病院 ■尼崎中央病院 ■合志病院 ■明和病院 ■関西電力病院 ■神戸市立医療センター中央市民病院 ■京都大学医学部病院 ■西宮協立脳神経外科病院 |
